Shëndetësi
Aspekti diagnostik i kancerit të gjirit: Çka është kanceri i gjirit?
Sa më herët që bëhet diagnostikimi i kancerit të gjirit, aq më të mëdha janë gjasat e mjekimit (deri në mjekim të plotë)!
Kanceri i gjirit është një sëmundje malinje e gjirit të njeriut (me një përqindje 99 % te femrat dhe 1 % te meshkujt). Është tumori më i shpeshtë malinj (d.m.th. me natyrë të keqe) tek femrat.
Histori e shkurtë e kancerit të gjirit
Kanceri i gjirit njihet si sëmundje e rëndë që nga kohët antike. Mjekë nga epoka të ndryshme e kanë përshkruar dhe ua kanë përcjellë kolegëve më të rinj. Dokumentimi i parë i kancerit të gjirit vjen nga Egjipti i lashtë dhe daton nga viti 2650 Para Krishtit. Në papirusin Edwin Smith (rreth 1600 p.k.) u përshkruan tetë raste me kancer të gjirit, përfshirë edhe atë të një burri. Papirusi Ebers gjithashtu përmban një përshkrim të kancerit të gjirit. Një rast i kancerit të gjirit u përshkrua gjithashtu në Corpus Hippocratum.
Cilat janë metodat radiologjike diagnostike të kancerit të gjirit?
Metodat standarde diagnostike radiologjike të kancerit të gjirit janë:
– Mamografia
– Utratingulli (apo Sonografia apo Ekografia)
– MRT-Mamografia
Çka është Mamografia?
Mamografia është një ekzaminim me rreze të Rëntgenit (rreze X) i gjirit (lat. Mamma – gjiri) për diagnostikimin e sëmundjeve të gjirit dhe sidomos të diagnostikimit të hershëm të kancerit të gjirit. Ajo paraqet një metodë bazë në diagnostikimin e ndryshimeve në indet e gjirit (të tilla si noduse apo mikrokalcifikate, asimetri e indit gjëndëror, ndryshim i arkitekturës gjëndërore, trashje e lëkurës etj) që mund të jenë tregues për kancer të gjirit.
Mamografia është një ekzaminim i shpejtë dhe i lehtë që përdoret për të zbuluar ndryshimet patologjike në gji. Edhe tumoret që janë me madhësi diametri p.sh. vetëm 3 mm dhe ende nuk janë të prekshëm mund të zbulohen duke përdorur këtë metodë. Kjo tregon se, Mamografia si metodë ekzaminimi ka një ndjeshmëri të lartë.
Kur është një Mamografi e indikuar? Edhe pa pasur ankesa të gjirit është e këshillueshme të realizohet një mamografi bazike aty kah mosha 40 vjeçare.
Prej moshës 40 deri 50 vjeç është e këshillueshme të bëhen 2 deri 3 mamografi. Në vendet perëndimore që prej fillimit të shekullit 21 aplikohet një program i veçantë nacional parandalues për kancer të gjirit përmes mamografive të rregullta në çdo dy vjet. Vende të ndryshme kanë edhe rregulla të ndryshme. Psh. Mamografia rekomandohet në mënyrë rutinë për femrat prej 45 deri 69 vjeç (Austri) ose 50 deri 69 vjeç (Gjermani dhe Zvicër). Kjo për arsye se kanceri i gjirit është shumë më i shpeshtë në këtë fazë të jetës. Për këtë arsye, femrat në këtë grupmoshë ftohen të bëjnë një mamografi çdo dy vjet si masë paraprake parandaluese. Shpenzimet mbulohen nga kompanitë e sigurimeve shëndetësore ose sigurimet e detyrueshme shëndetësore (në kuadër të programeve nacionale për mbrojtje nga kanceri). Është koha e fundit qe edhe në vendet tona si psh. në Kosovë institucionet përgjegjëse te hartojnë planin nacional të mbrojtjes nga kanceri i gjirit me fillimin e programeve për mamografi preventive apo në kuadër të një screening-u. Është me rëndësi të kuptohet se këto ekzaminime të rregullta në çdo dy vjet nuk janë të lidhura me ndonjë lloj ankese nga ana e gruas apo ndryshimi fizik në gji, por janë në kuadër të planit për parandalim të kancerit përmes zbulimit në një stadium sa më të hershëm (dmth atëherë kur femra nuk ka asnjë ankesë). Për femrat mbi 70 vjeç, rekomandimet për ekzaminimet e shqyrtimit të kancerit të gjirit (të tilla si mamografia) bazohen në disa faktorë: Rreziku individual i kancerit, gjendja e përgjithshme e shëndetit dhe jetëgjatësia individuale e saj.
Rastet me rrezik të shtuar nga kanceri i gjirit. Disa raste janë me një rrezik në shtuar të kancerit të gjirit, për shembull nëse nëna ose motra e tyre tashmë vuajnë apo kanë vuajtur nga kanceri i gjirit. Atëherë është e rëndësishme qe të kryeni një mamografi në mënyrë rutinore para moshës 50 ose 45 vjeç – shpesh e plotësuar me imazhe të rezonancës magnetike (imazhe me rezonancë magnetike, MRT) të gjirit. Një plan ekzaminues i tillë i intensifikuar i hershëm i kancerit bazohet në profilin individual të rrezikut të një femre me një rrezik të shtuar të kancerit të gjirit.
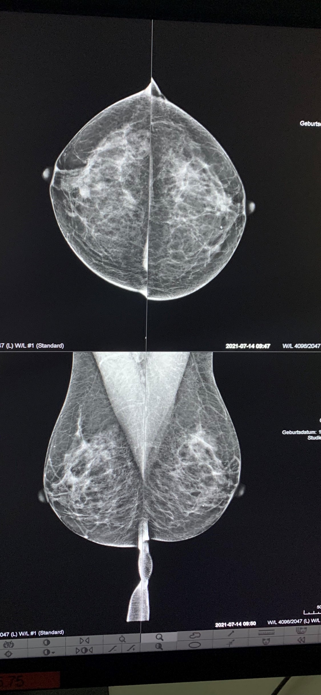
Pamje nga mamografitë
A ka Mamografia anë negative?
Po. Ashtu si tek çdo ekzaminim me rreze Rëntgen, edhe Mamografia, përveç dobisë diagnostike ka edhe anën negative të saj d.m.th. një dozë të rrezatimit që pacientja e merr gjatë ekzaminimit.
Mamografia përdoret për zbulimin e hershëm të kancerit të gjirit. Sa më herët të zbulohet kanceri i gjirit, aq më të mëdha janë shanset për shërim.
Indikacionet per mamografi:
-Nëse ka një nodus (nyje apo kokërr) qe preket apo ndjehet në gji
– Nëse gjiri ose pjesë te tij ngurtësohen ose ndryshohen
-Nëse vërehen nyje limfatike të rritura në sqetull -Nëse keni një predisponim të shtuar për kancer të gjirit: nëse vetë keni pasur më herët ndonjë sëmundje të gjirit ose një anëtare të familjes (nëna, motra, tezja etj.) me sëmundje të kancerit të gjirit.
Ultratingulli i gjirit (Sonografia apo Ekografia)
Ultratingulli apo Sonografia apo Ekografia e gjirit është një ekzaminim i gjirit me ultratingull. Në praktikën e përditshme është një procedurë plotësuese e mamografisë tek moshat më të rritura në rastet kur indi gjëndëror i gjirit është ende me dendësi të theksuar dhe transparencë të reduktuar apo edhe mund të jetë metodë e parë ekzaminiuese te moshat e reja (nën moshën 30 vjeç). Ultratingulli bazohet në karakteristikat fizike të përhapjes së valëve të ultratingullit, është një metode jo invazive, pa dhimbje dhe pa rrezatim jonizues si dhe më e lirë ne aspektin ekonomik.
Pamje nga Ultratingulli i gjirit
MRT-Mamografia
MRT (Magnet-Rezonan-Tomografia apo Tomografia me Rezonance Magnetike) është një nga metodat më moderne të ekzaminimit në radiologjinë diagnostike, me të cilën mund të bëhen imazhe të trupit të njeriut në çdo plan të dëshiruar pa ekspozim ndaj rrezatimit. Një prezantim shumë më i mirë i strukturave anatomike sesa me metoda të tjera imazherike për shkak të një rezolucioni të lartë dhe një kontrasti të lartë të indeve. Përveç mamografisë dhe sonografisë, MRT-mamografia është një metodë e rëndësishme e ekzaminimit në diagnostikimin e sëmundjeve te gjirit. MRT Mamografia karakterizohet në veçanti nga një shkallë shumë e lartë e zbulimit edhe të tumoreve të vegjël. Ekzaminimet kryhen në aparate me fuqi 1.5 T dhe 3T.
Pamje nga MRT-Mamografia
A duhet qe Radiologu të ketë përgatitje te veçantë për diagnstikimin e sëmundjeve te gjirit?
Edukimi specialistik për Radiologji përfshine në tërësi edhe përvetësimin e plotë të dijeve dhe shkathtësive diagnostike të sëmundjeve të gjirit. Ne vendet perëndimore, radiologu që merret me këtë diagnostikë do të ketë edukim plotësues në formë seminaresh, trajnimesh apo provimesh shtesë që lidhen drejtpërdrejt me Mamografine. Ky edukim plotësues është i vazhdueshëm dhe përsëritet në mënyrë periodike. Por kjo nuk është e tëra. Çdo vend ka edhe kriteret që një radiolog duhet t`i plotësojë në mënyrë që të ketë të drejtë të merret me diagnostikën mamografike. Kështu për shembull në Zvicër, një radiolog duhet që së paku 1000 Mamografi t`i ekzaminojë në vit në rutinën e tij diagnostike ndërsa nëse është edhe radiolog i angazhuar në Mamografo-Screening ai duhet që në çdo vit të ketë ekzaminuar më tepër se nga 3000 Mamografi. Në bazë të këtyre të dhënave mund të shihet kujdesi i madh i këtyre shoqërive (shteteve) për një cilësi të lartë profesionale diagnostike dhe kriteret e veçanta që vlejnë për stafin mjekësor (radiologët).
Të ngjashme
Të tjera nga Shëndetësi
E-Diaspora
-
Winterthur
Ansambli “Trojet” prezantohet sonte me valle shqiptare në festivalin ndërkulturor në Winterthur Vallet dhe traditat shqiptare prezantohen nga ansambli “Trojet” në një mbrëmje ndërkulturore me pjesëmarrjen e komuniteteve... -
Prishtinë
Koncert i muzikës klasike në Prishtinë me Victor Julien-Laferrière dhe Filharmoninë e Kosovës -
Ardian Gjini i drejtohet diasporës: Mos e votoni Albin Kurtin -
Bronx
Panairi “Gjergj Kastrioti Skënderbeu” mbledh mijëra shqiptarë në Bronx -
Zyra e BE-së në Kosovë shpall Shqipe Neziri Velën “Europiania e Vitit 2026”
Jeta në Austri
-
Pas sistemit të ri monitorues të targave, rregulla të ashpra për shoferët në Austri Me fillim të muajit maj, Austria planifikon të monitorojë me kamera rrugët e disa qyteteve. Sistemi... -
Linz: Burri dyshohet se vrau gruan dhe vajzën e tij, e më pas veten -
Vjenë
Libri me poezi ‘‘I dashtuni im zdrukthtar’’ do të promovohet edhe në Vjenë -
Një ditë e zakonshme që u kthye në festë zyrtare: Historia e 1 Majit -
Ambasada e Kosovës në Austri njofton shërbime të mbyllura konsullore në disa data të majit 2026














